آیا تومورهای غدد بزاقی خطرناک هستند؟
تومورهای غدد بزاقی از آن دسته بیماریهایی هستند که بیسروصدا شروع میشوند و تنها یک تورم کوچک کنار گوش، یک برجستگی بدون...
درمان عفونت غدد بزاقی
درمان عفونتهای بزاق به دو دسته پزشکی و جراحی تقسیم میشود. انتخاب نوع درمان به نوع و شدت مشکل بستگی دارد. اگر منشا عفونت...
عفونت غدد بزاقی؛ آشنایی با علائم و علت آن
عفونت غدد بزاقی به وضعیتی اطلاق میشود که در آن غدد بزاقی دچار التهاب شده و مشکلاتی را به وجود میآورد. این غدد در داخل...
آیا سنگ غدد بزاقی یک عارضه خطرناک است؟
سنگ غدد بزاقی یکی از مشکلات شایعی است که اغلب با درد ناگهانی زیر فک یا تورم هنگام غذا خوردن خود را نشان میدهد و بسیاری از...
جراحی سینوزیت در چه شرایطی انجام میشود؟
جراحی سینوزیت زمانی در دستورکار قرار میگیرد که هیچ روش درمانی بر این بیماری اثر نداشته باشد. سینوزیت به التهاب و انسداد...
چرکی شدن سینوس چه خطراتی به دنبال دارد؟
چرکی شدن سینوس یکی از شایعترین مشکلات بخش گوش و حلق و بینی است که در آن سینوسهای پارانازال دچار التهاب، انسداد و تجمع...
تومورهای بینی و سینوس چقدر خطرناک هستند
تومورهای بینی و سینوس خطرناک هستند؟ شنیدن نام تومور میتواند برای هر فردی ترسناک باشد اما باید بدانید که برخی از تومورها و...
جراحی آندوسکوپی سینوس
جراحی آندوسکوپی سینوس در چه شرایطی انجام میشود؟ معمولا افرادی که به سینوزیت مزمن دچار هستند از درمان این عارضه ناامید...
بهترین روش برای درمان قطعی سینوزیت را بشناسید
درمان قطعی سینوزیت چیست؟ سینوزیت اختلالی است که شاید به نظر بی خطر باشد اما میتواند کیفیت زندگی افراد را تا حد قابل توجهی...
سینوزیت مزمن چه مشکلاتی به وجود میآورد؟
سینوزیت مزمن یکی از شایعترین بیماریهای گوش، حلق و بینی است که میتواند کیفیت زندگی بیماران را به شدت کاهش دهد. برخلاف...
هزینه جراحی سینوس؛ بررسی کامل هزینهها با تعرفه ۱۴۰۴
هزینه جراحی سینوس چقدر است؟ سینوزیت مزمن یکی از بیماریهای شایع دستگاه تنفسی است که میتواند زندگی روزمره بیمار را به شدت...
همه چیز درباره فارنژیت؛ از علائم اولیه تا عوارض خطرناک
بیماری فارنژیت یکی از شایعترین مشکلات حوزه گوش، حلق و بینی است که بسیاری از افراد حداقل یک بار در طول زندگی به آن مبتلا...
تومورهای خوش خیم گردن: بررسی کامل علل، تشخیص و روشهای درمانی
تومورهای خوش خیم گردن از جمله شایعترین تومورهای این ناحیه محسوب میشوند چرا که گردن به دلیل وجود ساختارهای مختلف...
درمان تومور کاروتید: تودههای عروقی گردن خطرناک است؟
اهمیت درمان تومور کاروتید زمانی مشخص میشود که همه چیز را درباره این تومور عروقی بدانید. تومور کاروتید یا پاراگانگلیوما...
درمان سنگ لوزه: روشهای موثر خانگی، پزشکی و جراحی
سنگ لوزه یکی از مشکلات شایع حلقی است که ممکن است باعث ناراحتی، بوی بد دهان و حتی عفونت شود. وقتی سنگهای کوچک یا بزرگ در...
چگونه از علائم آلرژی فصلی راحت شویم
با شروع فصل بهار یا پاییز، بسیاری از افراد دچار عطسه، آبریزش بینی و خارش چشم میشوند. این علائم آشنا، نشانهای از آلرژی...
نشانه های سرطان گوش؛ علائمی که نباید نادیده گرفته شوند
سرطان گوش یکی از انواع نادر سرطانهاست که معمولا در مراحل اولیه با علائم خفیف ظاهر میشود. با اینکه این بیماری نسبت به...
معجزهای برای شنیدن دوباره؛ کاشت حلزون گوش
تاکنون به لحظهای فکر کردهاید که صدای عزیزانتان را نشنوید؟ برای افرادی با کمشنوایی شدید یا ناشنوایی مادرزادی، این...
جراحی پولیپ بینی؛ انواع روشها، مزایا و سن مناسب برای درمان
پولیپ بینی یکی از شایعترین مشکلات سینوسی است که میتواند تنفس طبیعی را مختل کرده و کیفیت زندگی فرد را کاهش دهد. این...
جراح ماستوئیدکتومی: نجات گوش با جراحی تخصصی
ماستوئیدکتومی، یک جراحی گوش تخصصی است که نام آن شاید کمتر به گوشتان خورده باشد، اما نقش بسیار مهمی در حفظ شنوایی و...
بیماری منییر چیست و چه علائمی دارد؟
تصور کنید زندگی روزمرهتان به طور ناگهانی با موجهایی از سرگیجههای شدید، صدای زنگ مداوم در گوش و کاهش تدریجی شنوایی مختل...
کیست گوش تا چه اندازه میتواند خطرناک باشد؟
تصور کنید گوش شما، این عضو حیاتی و پیچیده، بهجای اینکه فقط صدای دنیا را منتقل کند، ناگهان به منبع مشکلات تبدیل شود....
فیستول پری لنف گوش؛ راز پنهان اختلالات شنوایی و تعادل
فیستول پری لنف گوش یکی از اختلالات نادر اما جدی است که ممکن است تاثیرات عمیقی بر کیفیت زندگی فرد بگذارد. این عارضه که به...
وزوز گوش
وزوز گوش یا تینیتوس (Tinnitus) به حالتی اطلاق میشود که فرد بدون وجود منبع صوتی خارجی، صدایی را در گوش یا سر خود احساس...
تومور عصبی شنوایی (نوروم آکوستیک)
آیا تا به حال احساس کردهاید که صدایی دائمی در گوشتان میپیچد یا شنواییتان کم شده و علت مشخصی برای آن پیدا نمیکنید؟ این...
بهترین جراح قاعده جمجمه در تهران
قاعده جمجمه یکی از پیچیدهترین و حساسترین نواحی بدن انسان است که ساختاری حیاتی برای محافظت از مغز و ارتباط آن با سایر...
تومورهای گوش
تومورهای گوش به تومورهایی اطلاق میشوند که در نواحی مختلف گوش، از جمله گوش خارجی، میانه و داخلی، رشد میکنند. این تومورها...
عمل های رایج گوش
جراحی های گوش به عنوان یکی از زمینه های پرکاربرد در پزشکی، همواره به عنوان رفع مشکلات شنوایی و تعادل مطرح بوده است. این...
درمان بیماری گوش شناگر
بیماری گوش شناگر، یکی از مشکلات شایع گوش است که بیشتر در افرادی که به شنا و فعالیتهای آبی میپردازند، دیده میشود. این...
جراحی پیشانی برجسته یا پیشانی ناندرتال چیست؟
جراحی پیشانی برجسته یا ناندرتال، یکی از روشهای نوین در جراحی زیبایی و ترمیمی است که به تغییر شکل و بهبود ظاهر برجستگیهای...
جراحی وی تی گوش چیست و برای درمان چه بیماری انجام می شود؟
جراحی وی تی گوش به عنوان جراحی لولهگذاری گوش (Ventilation Tubes یا VT) نیز شناخته میشود، یک روش جراحی ساده و رایج است که...
ایمپلنت تعادلی گوش چیست و چه کاربردی دارد؟
ایمپلنت تعادلی گوش یا ایمپلنت وستیبولار نوعی دستگاه پزشکی پیشرفته است که برای کمک به افرادی با مشکلات شدید تعادلی طراحی...
مراقبتهای پس از درمان فلج صورت
پس از درمان فلج صورت، توجه به مراقبتهای پس از عمل اهمیت زیادی دارد تا روند بهبودی بهسرعت و به بهترین شکل ممکن طی شود....
جراحی پیوند عصب صورت
پیوند عصب صورت، بهعنوان یکی از نوینترین و پیشرفتهترین روشهای جراحی، میتواند نویدبخش بازیابی حرکات و حالات طبیعی در...
گره تیروئید چیست و چه عوارضی دارد؟
گرههای تیروئیدی، تودههایی هستند که درون یا روی غده تیروئید شکل میگیرند و اغلب به صورت اتفاقی در معاینات بالینی یا...
جراحی اندوسکوپی مجرای اشکی
جراحی اندوسکوپی مجرای اشکی (DCR) یکی از تکنیکهای پیشرفته و کمتهاجمی است که به منظور باز کردن انسداد مجرای اشکی و بهبود...
جراحی لوزه سوم در کودکان
جراحی لوزه سوم، یکی از رایجترین عملهای جراحی در کودکان است که بهطور معمول برای بهبود مشکلات تنفسی، خر و پف شبانه و...
علائم، تشخیص و درمان تومور های غدد بزاقی
تومورهای غدد بزاقی مجموعهای از تودهها یا برآمدگیها هستند که وظیفه تولید بزاق برای مرطوب نگه داشتن دهان و کمک به گوارش...
جراحی قاعده جمجمه
جراحی قاعده جمجمه، نوعی عمل جراحی پیچیده و پیشرفته است که به منظور درمان مشکلاتی که در ناحیه قاعده جمجمه، یعنی بخشی از...
سرطان گوش خطرناک است؟ آیا قابل درمان است؟
سرطان گوش یکی از انواع نادر سرطانها است که میتواند در بخشهای مختلف گوش از جمله پوست خارجی، کانال گوش، یا حتی در...
بیماری اتواسکلروز چیست و چگونه قابل تشخیص است؟
اتواسکلروز یک بیماری گوش میانی است که به تدریج باعث کاهش شنوایی میشود. در این بیماری، رشد غیرطبیعی و بیشازحد استخوان در...
برداشتن لوزه (تونسیلکتومی) در چه مواردی تجویز می شود؟
لوزهها دو غده کوچک در انتهای گلو شما هستند که بخشی از سیستم دفاعی بدن به شمار میآیند و به مقابله با باکتریها و ویروسها...
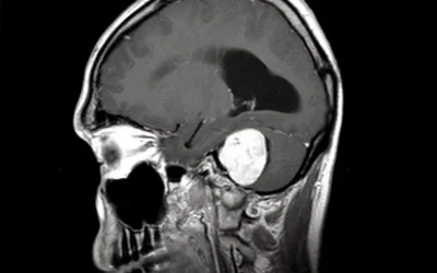
تومور پشت چشم یا حدقه چشم +نحوه جراحی
تومور پشت چشم به توده یا توموری اشاره دارد که در ناحیهی حدقه چشم رشد میکند. این تومورها میتوانند خوشخیم (غیرسرطانی) یا...
غده پشت گوش ( علائم، دلایل و روش درمان آن)
غده پشت گوش در بیشتر موارد بیخطر هستند و اغلب با دارو برطرف می شوند، اما به ندرت نشانه ای از یک مشکل خطرناک یا تهدید...
انواع ایمپلنتهای مورد استفاده در جراحی زیبایی جمجمه
ایمپلنتها در جراحی زیبایی جمجمه به موادی مصنوعی یا زیستی اطلاق میشود که برای اصلاح و بهبود شکل و ظاهر جمجمه به کار...
کیست گردن چیست و چه علائمی دارد؟
کیست گردن یا کیستهای گردنی، تودههای غیرطبیعی هستند که در ناحیه گردن تشکیل میشوند. این کیستها میتوانند به دلایل مختلف...
تومورهای پارافارنکس چه خطراتی دارند؟
تومورهای پارافارنکس به تومورهایی گفته میشود که در فضای پارافارنکس شکل میگیرند. فضای پارافارنکس یک ناحیه عمیق در گردن است...
تورم غدد لنفاوی به چه علت اتفاق می افتد؟
تورم غدد لنفاوی (که به آن لنفادنوپاتی نیز گفته میشود) به وضعیتی اطلاق میشود که در آن غدد لنفاوی بزرگتر از اندازه طبیعی...
تومور پاروتید
تومور پاروتید یک رشد غیرعادی سلولی در غده پاروتید است که بزرگترین غده بزاقی بدن محسوب میشود و در جلوی گوش و در ناحیه فک...
کیست تیروگلوس چیست و چگونه درمان میشود؟
کیست تیروگلوس یک نوع کیست است که در طول مسیر تیروگلوسال داکت (thyroglossal duct) تشکیل میشود. تیروگلوس یک بافت باقیمانده...
جراحی حنجره چیست و در چه مواقعی انجام میشود؟
جراحی حنجره یا لارنژکتومی، یک فرآیند پزشکی است که در آن بخشی یا کل حنجره (لارنکس) از بدن خارج میشود. این جراحی ممکن است...
تومورغده هیپوفیز خطرناک است؟
تومور هیپوفیز یک نوع تومور است که در غده هیپوفیز واقع در قاعده مغز ایجاد میشود. این غده مسئول تولید و تنظیم هورمونهای...
عمل سرطان حنجره چه زمانی انجام میشود؟
سرطان حنجره یکی از انواع سرطانهای سر و گردن است که در سلولهای حنجره آغاز میشود. حنجره یک اندام لولهای شکل در گلو است...
سرطان تیروئید از علائم تا تشخیص
سرطان تیروئید یکی از انواع سرطان است که همانطور که از نام آن پیداست در غده تیروئید که در ناحیه زیر گلو است رخ میدهد. غده...
آیا تمام تومورهای سر و گردن خطرناک هستند؟
تومورهای سر و گردن به هرگونه توده یا آنومالی در منطقه سر و گردن اشاره دارد که ممکن است در بافتها و ساختارهای مختلف این...
تودههای سر و گردن و علائمی که به همراه دارند!
تودههای سر و گردن به هر نوع گرهای یا تجمع سلولی اشاره دارد که در منطقه سر و گردن فرد قابل لمس یا قابل مشاهده باشد. این...
سرطان لوزه چیست و چگونه درمان می شود؟
سرطان لوزه یک نوع سرطان است که در بافتهای لوزههای که در بخش عقبی حلق واقع شده اند، ایجاد میشود. این نوع سرطان ممکن است...
آسیب صوتی به گوش چه عوارضی به دنبال دارد؟
آسیب صوتی به گوش در اثر تماس با صداهای بلند و شدید رخ میدهد که باعث تلف شدن سلولهای شنوایی در گوش میشود. این امر...
شکستگی قاعده جمجمه و روشهای تشخیص آن
شکستگی قاعده جمجمه ممکن است بر اثر عوامل مختلف رخ دهد.این نوع شکستگی به عنوان یکی از آسیبهای جدی در ناحیه سر و گردن...
درمان پارگی پرده گوش و هرآنچه که باید بدانید
درمان پارگی پرده گوش شامل اقدامات مختلفی است که به منظور ترمیم و بهبود پارگی انجام میشود. این اقدامات شامل استفاده از...
پارگی پرده گوش چه علائم و عوارض دارد؟
پارگی پرده گوش موجب کاهش شنوایی و آسیب پذیری در برابر عفونت میشود. به از بین رفتن پرده نازک یا ایجاد سوراخ هایی ریز در...
تومورهای قاعده جمجمه را بیشتر بشناسید
تومورهای قاعده جمجمه نوعی از تومورها هستند که در بخش پایینی جمجمه، تشکل میشوند. این تومورها ممکن است از بافتهای مختلفی...
جراحی زیبایی جمجمه سر
جراحی زیبایی جمجمه سر برای افراد بزرگسالی که از شکل و نوع ظاهری سر خود ناراضی هستند انجام می شود. این جراحی که
جراحی اختلالات جمجمه چه مزایایی دارد؟
جراحی اختلالات جمجمه و صورت برای بسیاری افراد و کودکانی که با ناهنجاریهای جمجمه یا صورت متولد شده اند یا بعداً دچار آن...
اختلالات جمجمه و صورت + علائم و علت
اختلالات جمجمه و صورت به وضعیتی اطلاق میشود که طی آن سر و صورت متقارن یا متعادل نباشد. بسیاری از ما تا حدی چهرههای...
جراحی غدد بزاقی چه مشکلاتی را برطرف میکند؟
جراحی غدد بزاقی به منظور برداشتن بخشی از غده پاروتید انجام میشود.غدد پاروتید، مسئول تولید بزاق است. این غده در گونهها...
عفونت گوش میانی چه علائمی دارد؟
عفونت گوش میانی یک وضعیت التهابی در منطقه میانی گوش است که شامل گوش درونی و لولههای اتصال گوش بیرونی است. این وضعیت...
جراحی تیروئید برای چه مشکلاتی تجویز میشود؟
تیروئید یکی از غدد درون ریز بدن و یک غده ای کوچک و پروانه ای شکل است که حدود بیست و پنج میلی گرمی است
عفونت قارچی گوش چیست و چه علائمی دارد؟
عفونت قارچی گوش بیماری است که در آن قارچها در کانالهای گوش و گوش میانی رشد میکنند و با علائمی نظیر درد، خارش، قرمزی،...
علائم عفونت سینوس یا سینوزیت چیست؟
علائم عفونت سینوس یا سینوزیت برای بسیاری از مبتلایان به این بیماری شناخته شده است. عفونت سینوس یا سینوزیت از یک آلرژی یا...
پولیپ بینی چیست و چه علائمی دارد؟
پولیپ بینی توده بیرنگ یا خاکستری رنگ داخل بینی هستند که معمولا داخل بینی یا سینوسها را میپوشاند. این تودهها باعث ایجاد...
درمان پولیپ بینی با چه روشهایی انجام میشود؟
درمان پولیپ بینی به آسانی و روشهای مختلفی امکان پذیر است. پولیپ بینی گاهی علائم شدیدی به دنبال دارد بنابراین ضرورت درمان...
هزینه جراحی تومور هیپوفیز
هزینه جراحی تومور هیپوفیز به عوامل مختلفی بستگی دارد که با توجه به شرایط پزشکی هر شخص میتواند متفاوت باشد. همه عوامل موثر...
هزینه جراحی قاعده جمجمه و عوامل موثر بر آن
هزینه جراحی قاعده جمجمه با توجه به پارامترهای مختلف برای هر فردی متفاوت است. جراحیهای قاعده جمجمه به منظور خارج کردن...
هزینه جراحی زیبایی گوش
هزینه جراحی زیبایی گوش به عواملهای مختلفی بستگی دارد که هر کدام از این عوامل می تواند به طرز قابل ملاحظه ای قیمت تمام شده...
التهاب گوش میانی یا اوتیت مدیا چیست؟
شایع ترین بیماری های گوش میانی، اوتیت ها هستند. عفونت ها نقش اصلی در این بیماری ها بازی می کنند. التهاب گوش میانی و اختلال...
تشخیص و درمان عفونت گوش
عفونت گوش یکی از رایج ترین، دردناک ترین و ناراحت کننده ترین دردها است. این درد به طور ناگهانی در گوش رخ می دهد بدون
جراحی زیبایی گوش یا اتوپلاستی چگونه انجام می شود؟
بزرگی و ناهماهنگ بودن گوش ها می تواند اعتماد به نفس انسان ها را پایین بیاورد یا در کودکان باعث خجالت و ناراحتی
دلایل گرفتگی گوش چیست؟
آیا تا به حال فشاری در گوش خود داشته اید اما نمی دانید چرا؟ آیا هنگام غذا خوردن یا قورت دادن گوش های شما درد می کند؟ آیا...
نحوه انجام آزمایش غدد بزاقی
سیالوگرافی یا بزاق نگاری یک نوع از آزمایش های رادیوگرافی می باشد که بایستی از غدد بزاقی گرفته شود. بهتر است بدانید مقدار...
خونریزی از بینی
خونریزی از بینی یک علامت نسبتا شایع و معمولا بی خطر است که ممکن است در بیماری های متعددی دیده شود. با دانستن علل مهم، می...
متخصص گوش و حلق و بینی خوب در تهران
مسلما تمام افراد هنگام مراجعه به پزشک به دنبال بهترین هستند. از آنجا که بیماری های مربوط به گوش و حلق و...
درمان کم شنوایی
کم شنوایی چیست؟ تفاوت کم شنوایی و ناشنوایی چیست؟ علائم کم شنوایی چیست؟ آیا کم شنوایی قابل درمان است؟ آیا فرد کم
درمان سرطان زبان
سرطان نامی آشنا در دنیای امروز است. این بیماری انواع مختلفی داشته و می تواند اندام های متفاوت از بدن را درگیر کند اما یکی...
آیا کرونا از راه گوش منتقل می شود؟
آیا کرونا از راه گوش منتقل می شود؟یک سوال مهمی که مراجعین و بیماران می پرسند این است که آیا کرونا از راه گوش هم منتقل می...
جراحی فری فلپ یا بازسازی صورت
جراحی فری فلپ یا بازسازی صورت در سال های اخیر، با پیشرفت علم پزشکی و پیشرفت جراحی سر و گردن، جراخی بازسازی صورت نیز پیشرفت...
آیا کرونا تاثیری در حس بویایی و چشایی دارد؟
آیا کرونا تاثیری در حس بویایی و چشایی دارد؟ در طول بیماری همه گیر ویروس کرونا، بحث هایی در مورد این احتمال وجود دارد که...
حقایق و اشتباهات رایج در خصوص کرونا ویروس
حقایق و اشتباهات رایج در خصوص کرونا ویروس چرا سشوار ویروس را نابود نمی کند و شست و شوی بینی با سرم سالین، کمکی نخواهد...
جراحی عود تومور پاروتید
درباره ی جراحی عود تومور پاروتید چه می دانید؟ ناتوانی در بلع، احساس درد هنگام باز کردن دهان و احساس گرفتگی در بینی، این...
علائم تومورهای بدخیم حنجره
علائم تومورهای بدخیم حنجره علائم تومورهای بدخیم حنجره کدامند؟آیا سرطان گلو کشنده است ؟علت درد گلو نشانه چیست ؟آیا درمان...
درمان اختلالات صدا
درمان اختلالات صدا ارتباطات گفتاری، اساس ارتباطات بین فردی و در مجموع فرهنگ انسانی می باشد که با درک گفتار و توان بیان...
بیماری دیفتری یا خناق چیست؟
بیماری دیفتری یا خناق چیست؟ لارنژیت زیر گلوتی حاد،علائم بالینی شامل سرفه خشک شدید، خشونت صدا، استریدور دمی یا یازدمی ...
بهترین جراح پولیپ بینی چه ویژگی هایی دارد؟
آیا تا به حال احساس کرده اید که سرماخوردگی تان بهبود پیدا نمی کند؟ احتقان بینی که خیال بهبودی ندارد، حتی با داروهای...
سلیله فی الانف
سلیله فی الانف هل سلیله فی الانف خطیره؟ من هم أکثر معرضین للخطر سلیله الانفیه؟ إلى أی آفات مخاطیه فی کل منطقه من الجسم،...
اختلالات بالینی عصب صورتی
اختلالات بالینی عصب صورتی شایع ترین نوع فلج عصب صورتی ، فلج بلزیاایدیوپاتیک می باشد و سپس فلج تروماتیک و فلج ناشی از...
أفضل طریقه لفحص الحلق
أفضل طریقه لفحص الحلق یعد فحص البلعوم جزءا أساسیا من أی فحص للآذان والبلعوم ویتم بطرق متعدده. بالإضافه إلى...
بهترین روش معاینه حلق
بهترین روش معاینه حلق معاینه بالینی حلق، جز ضروری در هر معاینه گوش و حلق و بینی می باشد و با روش های مختلفی انجام می شود ....
سرطان الحنجره
سرطان الحنجره یحدث سرطان الحنجره عاده فی الأنسجه حول الحنجره بسبب النمو المفرط للخلایا الخبیثه. للحنجره الموجوده فی جسم...
التهاب های حفره بینی
التهاب های حفره بینی درمان التهاب بینی چیست؟علت ورم ناگهانی بینی چیست؟ دلایل التهاب مخاط بینی چیست؟ رینیت حاد (سرماخوردگی...
کیفیه علاج التهاب الجیوب الأنفیه المزمنه؟
کیفیه علاج التهاب الجیوب الأنفیه المزمنه؟ کیفیه علاج التهاب الجیوب الأنفیه المزمنه؟ بالإضافه إلى التغییرات...
اندوسکوپی بینی چیست؟
اندوسکوپی بینی چیست؟ اندوسکوپی بینی به چه افرادی توصیه می شود؟ مزایا و عوارض اندوسکوپی بینی چیست؟ هزینه انجام اندوسکوپی...
نزیف من الأنف
نزیف من الأنف نزیف الأنف هی أعراض شائعه نسبیا وغیر ضاره عاده قد تکون موجوده فی العدید من الأمراض. من خلال معرفه...
تکبیر مخالب الأنف
تکبیر مخالب الأنف یتم التنفس البشری عن طریق الفم و الانف ، وبالطبع فإن الأنف هو الطریقه الرئیسیه للتنفس من خلال الهواء...
بینی و سینوس های پارانازال
بینی و سینوس های پارانازال سینوس های پارانازال حفرات مملو از هوا هستند که با حفرات بینی ارتباط دارند، همه سینوس ها به جز...
زراعه القوقعه الاذن
زراعه القوقعه الاذن وفقا للإحصاءات الصادره فی البلاد ، یولد حوالی ۲۰۰۰ طفل یولدون یعانون من ضعف السمع الخلقی فی البلاد...
عملیه اصلاح طبله الاذن
عملیه اصلاح طبله الاذن فی عملیه اصلاح طبله الاذن ، تتلف العظام الصغیره فی الأذن الوسطى أو قناه الأذن. ستاره طبله الأذن هی...
بیماری های گوش خارجی
بیماری های گوش خارجی یک وضعیت شایع غیر التهابی ، انسداد مجرای گوش با تجمع جرم می باشد . تمیز کردن مجرای گوش که بسیار شایع...
الآفات والأورام الحمیده فی تجویف الفم
الآفات والأورام الحمیده فی تجویف الفم لا تنتشر الآفات والأورام الحمیده فی تجویف الفم الا فی الفم أو اللسان أو غیره من...
تومورهای بینی خارجی و صورت
تومورهای بینی خارجی و صورت قسمت اعظم تومورهای صورت بدخیمی های هستند . سایر نئوپلاسم های بدخیم، ضایعات پیش سرطانی و...
تلوث السمعی فی الأذن
تلوث السمعی فی الأذن قد تتلوث السمعی فی الاذن نتیجه انفجار فی الأذن ، لکن الأذن المعلبه تظل سلیمه وتصبح غیر واضحه عن طریق...
بیماری غیر التهابی گوش میانی
بیماری غیر التهابی گوش میانی در این مقاله قصد داریم به بیماری های غیر التهابی محدود به گوش میانی بپردازیم. این ها شامل...
بیماری التهابی غدد بزاقی
التهاب غده ی بزاقی، معمولا موجب تورم منتشر کل غده می شود . بیماری التهابی به نام سیالادنیت می باشد که دارای انواع مختلفی...
التهاب الجیوب الانفیه
التهاب الجیوب الانفیه عاده ما یرتبط التهاب الجیوب الانفیه بالتهاب الانف (التهاب تجویف الانف) ، وبالتالی، یشار الی مصطلح...
انواع بیماری های غدد بزاقی
بیماری های غدد بزاقی به دو دسته بیماری های غیر التهابی و التهابی تقسیم بندی می شود که در این مبحث به بیماری های غیر...
حصی الغده اللعابیه
حصی الغده اللعابیه توجد الغدد اللعابیه الاکثر شیوعا فی الغدد الفک السفلی ، و التی تظهر عند الرجال الذین تزید اعمارهم عن ۴۰...
جراحه الشائعه الاذن
جراحه الشائعه الاذن کیف یتم جراحه الاورام الحمیده فی الاذن؟ ما هی انواع جراحه الشائعه الاذن؟ من بین عملیات جراحه الشائعه...
اورام الاذن
اورام الاذن أورام الاذن الخارجیه فی بعض الحالات ، هناک زیاده فی القصبه الهوائیه داخل أو أمام الزنمه (انتفاخ فی مقدمه تجویف...
ضایعات التهابی و تومورهای قاعده جمجمه جانبی
التهاب ها و تومورهای قاعده جمجمه جانبی التهاب هایی که قاعده جمجمه جانبی را درگیر می نمایند معمولا از گوش میانی منشا می...
جراحه التجمیل الذقن
جراحه التجمیل الذقن جراحه تصغیر الذقن (راب الذقن) یستخدم راب الذقن لتقلیل السلاسل الکبیره ، بعض الاشخاص لدیهم ذقن کبیر...
نشت مایع مغزی نخاعی
نشت مایع مغزی نخاعی یکی از سوالات شایع در بین عموم افراد جامعه در خصوص نشت مایع مغزی نخاعی می باشد . ابتدا باید مشاهده...
الم الاذن
الم الاذن واحده من المشاکل الشائعه بین عامه الاشخاص التی تودی إلى الطبیب و اخصائی الاذن و الانف و الحنجره هی ألم الأذن....
عملیه ورم قاعده الجمجمه
عملیه ورم قاعده الجمجمه یتم تصنیف ورم قاعده الجمجمه الی مجموعتین من الاورام یعنی الاولیه و النقلیه، التی تسبب لها النمو...
کیس الشحمیه
کیس الشحمیه ما هو کیس العنق؟ تتکون الکیسات الشحمیه او الدهنیه من ماده بیضاء نسبیا، والتی تتکون من تشوهات فی الدهون...
الأورام اللعابیه
الأورام اللعابیه معظم الأورام من الغدد اللعابیه حمیده، وحتى الأورام الخبیثه فی الاورام اللعابیه نادرا ما تنتشر إلى المناطق...
تشخیص تورم غده ی بزاقی
تشخیص و درمان تورم غده ی بزاقی بیماری های غدد بزاقی اغلب با تورم یک طرفه یا دو طرفه غدد بروز می کنند . این تورم تشخیص...
حقن البوتوکس
حقن البوتوکس البوتوکس، کما تعلم، هو السم الذی یستخدم بعد العلاج لجمال الوجه. یتم استخدام حقن البوتوکس من قبل الدکتور صالح...
سرطان الغدد اللعابیه
سرطان الغدد اللعابیه سرطان الغدد اللعابیه هو نوع نادر من السرطان ، وهو سرطان شائع فی الغدد اللعابیه التی تسبب عاده وذمه...
تمزق طبله الأذن
تمزق طبله الأذن مهمه نقل الصوت المنبعث خارج البیئه هی الحلزون. ونتیجه لذلک ، فإن تمزق طبله الأذن یؤدی إلى فقدان السمع...
ورم النکفی
ورم النکفی یقع الورم النکفی فی زاویه الفک ومجاور للأذن وهو ورم الغده اللعابیه. أورام الغدد اللعابیه هی الأکثر حمیده...
جراحه تجمیلیه الاذن
جراحه تجمیلیه الاذن فی جراحه الاذن، یمکن أن یقلل حجم وتضارب الأذنین من ثقه البشر أو یسبب إحراجًا لدى الأطفال، وذلک...
علاج إلتهاب الجیوب الأنفیه
علاج إلتهاب الجیوب الأنفیه یجب نعرف جیوب الأنفیه قبل المعرفه علی التهاب جیوب الأنفیه. جیوب الأنفیه، حفرات فارغه ممتلئه من...
قاعده جمجمه
قاعده جمجمه این تقع قاعده جمجمه ؟ جمجمه الإنسان متشکله من أجزاء مختلفه التی تحافظ علی أعضاء الأصلیه مثل المخ، العیون و...
سلام دنیا!
به وردپرس فارسی خوش آمدید. این نخستین نوشتهی شماست. میتوانید ویرایش یا پاکش کنید و پس از آن نوشتن را آغاز...
بیماری های عفونی گوش
بیماری های عفونی گوش التهاب یا عفونت گوش یکی از شایع ترین بیماری ها به شمار می آید . عفونت گوش به سه دسته عفونت گوش داخلی،...
جراحی پاروتید
آناتومی غدد پاروتید غدد پاروتید یا بناگوشی یک غده بزاقی است که در پایین گوش و قسمت کنار صورت قرار گرفته است . غدد بناگوشی...
درمان اختلالات شنوایی اطفال
علل و آثار اختلالات شنوایی اطفال تشخیص اختلالات شنوایی در اطفال و شیرخواران مشکل است و اغلب تا زمانی که طفل بزرگ تر شود...
جراحی انحراف و شکستگی تیغه بینی
صدمات استخوانی هرم بینی، در حوادث رانندگی و ورزشی شایع هستند. اغلب آسیب ها به صورت، شکستگی های بسته هستند. یافته های...
تومورهای لب ها و حفره دهان
تومورهای لب ها و حفره دهان تومورهای خوش خیم لب ها و حفره دهان، اگرچه نادرند، می توانند بصورت نتوپلاسم های اپی تلیالی مختلف...
آسیب های گوش خارجی
آسیب های گوش خارجی به منظور درک تظاهرات اختصاصی بیماری ها لاله گوش و مجرای خارجی، لازم است که آناتومی اختصاصی گوش خارجی را...
گوش درد
گوش درد یکی از مشکلات شایع در میان عموم افراد که سبب مراجعه به پزشک می شود درد گوش می باشد. گوش درد یک علامت است و خود یک...
سردرد رینوژنیک
سردرد شایع ترین مشکل سلامتی است، اما می تواند پیچیده تر از آن چیزی باشد که اکثر مردم تصور می کنند. هر سردرد مجموعه ای از...
سوالات متداول جوش دهانی و تومور گوش
سوالات متداول جوش دهانی و تومور گوش سوال بیمار: سلام وقتتون بخیر من داخل دهانم روی زبان کوچک یک دانه ریز اندازه یک جوش...
التهاب حاد لوزه
التهاب لوزه یکی از عارضه هایی است که همه افراد ممکن است آن را تجربه کرده باشند. التهاب لوزه در بیشتر مواقع در کودکان رخ...
تومورهای گوش خارجی
تومور یا سرطان گوش اغلب قابل تشخیص می باشند. بسیاری از تومورهای گوش وقتی که بیماران دچار آن می شوند دچار کاهش شنوایی...
تکنیکهای درمان بزرگی لوزه | راهکارهای نوین برای درمان بزرگ شدن لوزهها
آیا کودک شما هنگام خواب خر و پف میکند؟ یا در بلع غذا دچار مشکل شده است؟ این علائم ممکن است نشانهای از بزرگی لوزه...
بیماری های خوش خیم غده بزاقی
بیماری های خوش خیم غده بزاقی نام بیماری تورم غدد بنا گوشی چیست؟ سنگ غدد بزاقی تحت فکی کدامند؟ علائم سرطان غدد بزاقی چگونه...
اتواسکلروز (خشکی استخوانچه سوم گوش میانی)
اتواسکلروز (خشکی استخوانچه سوم گوش میانی) هزینه جراحی اتواسکلروز چقدر می شود؟ درمان چسبندگی گوش چگونه است؟ استخوان رکابی...
سرگیجه وضعیتی حمله ای خوش خیم
سرگیجه وضعیتی حمله ای خوش خیم سرگیجه ای وضعیتی حمله ای خوش خیم چیست؟ سرگیجه ای وضعیتی حمله ای خوش خیم چه علائمی دارد؟...
سنگ های کانال بزاق
سنگ های کانال بزاق علت و علائم سنگ های غدد بزاقی کدامند؟ سنگ غده بزاقی چیست؟ سنگ غدد بزاقی زیر زبانی چیست؟ سنگ های مجرای...
التهاب لوزه کامی (تونسیلیت)
لوزه ها یک جفت توده بافت نرم هستند که در عقب گلو واقع شده اند. هر لایه ان از بافت مشابه با گره های لنفاوی، که توسط موکوس...
آناتومی غدد بزاقی
آناتومی غدد بزاقی مشکلات و غدد بزاقی دهان کدامند؟ آیا غده پاروتید بزرگترین غده بزاقی به حساب می آید؟ سنگ غدد بزاقی تحت فکی...
علائم تومور گوش چیست؟
اولین علائم تومورگوش چیست؟ شاید شنیده باشید که گوش هم ممکن است تومور داشته باشد. تومور گوش یا نوروم آکوستیک چه علائمی دارد...
التهاب یا عفونت گوش
التهاب یا عفونت گوش علائم التهاب گوش چیست؟ آیا علائم التهاب گوش با علائم عفونت گوش یکی است؟ امروزه اغلب کودکان به علت صدمه...
روش های معاینه بینی
روش های معاینه بینی آیا برای معاینه بینی روش های خاصی وجود دارد؟ از جمله روش های معاینه بینی عبارتند از: مشاهده خارجی و...
عمل زیبایی گوش
بزرگی و ناهماهنگ بودن گوش ها می تواند اعتماد به نفس انسان ها را پایین بیاورد یا در کودکان باعث خجالت و ناراحتی شود،...
رضایت مندی یک بیمار (جراحی تومور پاروتید)
رضایت مندی یک بیمار (جراحی تومور پاروتید) وقتی شرمنده محبت بیمارانمون میشیم سلام آقای دکتر گرامی و بزرگوار ضمن وقت بخیر...
گرفتگی بینی
گرفتگی بینی علت گرفتگی بینی چیست؟ درمان گرفتگی هنگام خواب چگونه است؟ درمان گرفتگی بینی نوزادان به چه شیوه ای انجام می شود؟...
سوالات متداول جراحی فک
سوالات متداول جراحی فک تغییر چهره به وسیله جراحی فک چگونه صورت می گیرد؟ هزینه جراحی فک چقدر می باشد؟ زمان جراحی فک چقدر...
جراحی آندوسکوپی بینی و سینوس
جراحی آندوسکوپی بینی و سینوس جراحی آندوسکوپی سینوس چیست؟ هزینه جراحی آندوسکوپی سینوس چقدر می باشد؟ جراحی آندوسکوپی سینوس...
مراقبت های قبل و بعد از جراحی سینوس ها
مراقبتهای قبل و بعد از عمل جراحی سینوس ها عوارض بعد از عمل پولیپ بینی چیست؟ عوارض عمل سینوزیت چیست؟ مراقبت های قبل از...
سینوپلاستی با بالن
درمان سنوزیت چیست؟ هزینه درمان سینوزیت مزمن چقدر است ؟ سینوزیت یکی از بیماری هایی می باشد که افراد بسیاری با آن مواجه...
تشخیص سرطان حنجره
آیا سرطان حنجره کشنده است؟آیا سرطان حنجره قابل درمان است؟اولین علامت سرطان حنجره چیست؟ هر تغییر در صدای انسان می تواند از...
درمان سرطان گلو
سرطان گلو علائم سرطان گلو کدام است؟ آیا سرطان حنجره قابل درمان است؟ آیا سرطان حنجره کشنده است؟ علت ایجاد سرطان، تکثیر غیر...
سردرد سینوسی
سردرد سینوسی سردرد سینوسی ممکن است سینوزیت را منجر شود ، نوعی بیماری است که غشاء مخاطی را متورم و ملتهب می کند، وباعث...
فلج ناقص عصب صورت (عصب هفت)
هفتمین شاخه اعصاب دوازده گانه مغزی عصب صورتی است. این عصب مسوؤل حرکت صورت، بستن کامل چشم ها، حرکت گونه و لب ها می باشد....
سینوزیت در کودکان قابل درمان است؟
عامل ایجاد سینوزیت در کودکان عفونت و التهاب سینوس های بینی می باشد ، علت بروز عفونت و التهاب در سینوس ها مسدود شدن مسیر...
تزریق بوتاکس برای درمان سردرد های میگرنی
تزریق بوتاکس برای درمان میگرن تزریق بوتاکس برای درمان میگرن یکی از روش های موثر است که مورد تایید سازمان غذا و داروی...
درمان بزرگی شاخک های بینی
در داخل دیوارههای جانبی بینی قسمتهای وجود دارد که به آن شاخک بینی گفته میشود، وظیفه این شاخکها گرم، مرطوب و فیلتر کردن...
جراحی میکروشیا
جراحی میکروشیا برخی از افراد که تعداد آن ها بسیار اندک می باشد، از بدو تولد با عدم رشد مادرزادی لاله گوش و مجرای خارجی آن...
جراحی بینی پهن
جراحی بینی پهن امروزه زیبایی برای اکثرافراد ارزش به سزایی دارد، به خصوص برای خانم هایی که به زیبایی اهمیت بسیاری می دهند...
جراحی افتادگی نوک بینی
افتادگی نوک بینی در برخی از افراد نوک بینی حالت افتاده ای دارد، که با انجام جراحی افتادگی نوک بینی می توان این مشکل را...
متاستازی های گردنی
متاستازی های گردنی بطور کلاسیک گردن را به ۵ناحیه تقسیم می کنیم محل تخلیه لنفاوی هر قسمت از سر و گردن یک یا چند محل می باشد...
بیماری های زبان
سیاه و سفیدی پرز دار زبان زمانی که باکتری ها در دهان رشد کرده باشند، بیماری سیاه و سفیدی پرز دار زبان بروز می نماید، این...
درمان تومورهای هیپوفیز به روش آندوسکوپی
درمان تومورهای هیپوفیز به روش آندوسکوپی یکی از روش های درمان تومورهای هیپوفیز استفاده از آندوسکوپ می باشد که یک روش بسیار...
انواع سینوزیت و درمان آن
سینوزیت یکی از بیماری های شایع می باشد که افراد بسیاری با آن مواجه هستند که به دو نوع سینوزیت حاد و سینوزیت مزمن تقسیم می...
زمان مناسب ترمیم بینی
زمان مناسب ترمیم بینی جراحی ترمیمی بینی، یکی از دشوارترین جراحی های بینی می باشد و در مواردی که سایز بینی در جراحی اولیه...
نکات مهم در رابطه با تزریق ژل
نکات مهم در رابطه با تزریق ژل قبل از تزریق ژل در صورت داشتن حساسیتی پزشک خود را مطلع سازید، در رابطه با هر آن چه تصور می...
تومور گلوموسی ژوگومر
تومور گلوموسی ژوگومر نوعی از تومور خطرناک که به شکل کپسول در قسمت ها سرو گردن رشد می کند. این تومورها حاوی عروق زیاد بوده...
جراحی بینی گوشتی
جراحی بینی گوشتی بینی های گوشتی غضروف ضعیفی دارند که توانایی نگهداری بینی را به خوبی ندارند همچنین این نوع از بینی ها...
سوالات متداول در جراحی زیبایی گوش
سوالات متداول در جراحی زیبایی گوش در خصوص جراحی زیبایی گوش سوالات متداولی از دکتر صالح محبی متخصص گوش و حلق و بینی پرسیده...
آنژیوفیبروم نوجوانان
آنژیوفیبروم نوجوانان آنژیوفیبروم تومور خوشخیم در بینی و خلف بینی با ماهیتی عروقی است یعنی از تجمع تعداد بیشماری از رگهای...
تزریق کورتون بعد از جراحی بینی
تزریق کورتون بعد از جراحی بینی در برخی از افراد بعد از جراحی بینی با گذشت مدت طولانی تورم بینی برطرف نمی شود یا بدلیل...
آندوسکوپی گوش
آندوسکوپی گوش ورود آندوسکوپ به سال های خیلی قبل باز می گردد و بیش از ۲۰ تا ۲۵ سال است که از این روش برای بینی و سینوس...
جراحی دهان
جراحی دهان دسته ای از بیماری های دهان وجود دارد که برای درمان نیاز به جراحی دارند . یکی از این نوع بیماری ها سرطان غدد...
جراحی غبغب
جراحی غبغب پوست آویزان و شل شده زیر گردن و تجمع چربی در این ناحیه باعث ایجاد غبغب می شود که می توان با جراحی غبغب ظاهر...
جراحی زیبایی چانه
منتوپلاستی به منظور کوچک کردن چانه های بزرگ صورت می گیرد برخی از افراد چانه های بسیار بزرگی دارند که این امر موجب کاهش...
تزریق ژل
تزریق ژل امروزه با توجه به اهمیت زیبایی، تزریق ژل طرفداران بسیار زیادی پیدا کرده است که در زیر به مزایای این تزریق اشاره...
بلفاروپلاستی
بلفاروپلاستی بلفاروپلاستی به منظور برداشتن پوست اضافی و صاف شدن چین و چروک صورت می گیرد. حذف چربی اضافی در بلفاروپلاستی در...
عفونت گوش
شناخت آناتومی گوش گوش به ۳ قسمت گوش خارجی، گوش میانی و گوش داخلی تقسیم می شود. گوش خارجی شامل لاله گوش که یک حالت غضروفی...
کلستاتوم گوش
کلستاتوم گوش بافت تشکیل دهنده سطح خارجی پرده تمپان، پوست است . سلول های مرده اپی تلیالی توسط این پوست تولید می شود در...
اهداف جراحی ترمیمی بینی
اهداف جراحی ترمیمی بینی جراحی ترمیمی بینی برای برطرف کردن مشکلات یک بینی که قبلا تحت عمل جراحی قرار گرفته است صورت می...
ضایعات خوش خیم حفره دهان
تومورهای خوش خیم حفره دهان زایده های غیر سرطانی هستند که به بخشهای دیگر بدن گسترش پیدا نمی کند و معمولاً تهدید کننده زندگی...
لوزه و لوزه سوم
لوزه و لوزه سوم بزرگی لوزه های کامی یا حلقی و لوزه بینی حلقی یا لوزه سوم در سنین کودکی بسیار شایع است. لوزه ها غده های...
سینوزیت مزمن همراه با پولیپ
سینوزیت مزمن همراه با پولیپ ناشی از عفونت تنها نیست. در توضیح پولیپ معمولا به هر نوع گرفتگی بینی، بزرگی شاخک های بینی و یا...
خرخر یا خرناس کشیدن
خرخر یا خرناس کشیدن خرخر یا خرناس کشیدن معمولا در هر سنی ممکن است دیده شود که علت های آن در بزرگسالان و اطفال متفاوت است و...
انواع سرگیجه
انواع سرگیجه سرگیجه منییر یکی دیگر از انواع سرگیجه ها، سرگیجه منییر است که زمان آن معمولا یک مقدار طولانی تر است.سرگیجه...
سرگیجه
سرگیجه سرگیجه حالتی است که در آن فرد احساس می کند یا خودش یا محیط اطرافش در حال چرخش است. همچنین در برخی موارد حرکت هایی...
جراحی بازسازی بدشکلی های گوش( اتوپلاستی)
جراحی بازسازی بدشکلی های گوش( اتوپلاستی) بسیاری از افراد از ظاهر و اندازه گوش های خود ناراضی می باشند با استفاده از جراحی...
جراحی تومور قاعده جمجمه
جراحی تومور قاعده جمجمه تومور قاعده جمجمه به دو گروه تومورهای اولیه و متاستاتیک دسته بندی شده اند که با رشد و تکثیر شدن...
جراحی ترمیم شکاف کام
جراحی ترمیم شکاف کام جراحی ترمیم شکاف کام ، یک عمل جراحی فک و صورت است که برای انجام آن به ۵/۱ تا ۳ ساعت زمان نیاز است....
تزریق ژل لب
تزریق ژل لب تزریق ژل لب امروزه در میان زنان بسیار پرطرفدار می باشد زیرا زیبایی لب ها در زیبایی صورت بسیار تاثیر گذار می...
تومورهای بزاقی
تومورهای بزاقی اکثر تومورهای غدد بزاقی خوش خیم می باشند و حتی تومورهای بدخیم غدد بزاقی به ندرت به نواحی اطراف گسترش می...
سرطان پوست
سرطان پوست سرطان پوست سه نوع اصلی دارد که شامل سرطان سلول سنگفروشی (SCC)، سرطان سلول های بازل (BCC) و ملانوما می باشد که...
جراحی انحراف بینی
جراحی انحراف بینی جراحی انحراف بینی به منظور برطرف کردن و صاف کردن انحراف تیغه میانی بینی صورت می گیرد که این انحراف موجب...
تومور گلوموس تمپانیکوم
تومور گلوموس تمپانیکوم تومور گلوموس تمپانیکوم که معمولا کوچک بوده ممکن است از دیواره ی داخلی گوش میانی به صورت متصل به یک...
سرطان دهان
سرطان دهان سرطان دهان ممکن است لوزه ها، گلو، لب ها، زبان، کام و غشاهای درونی لب یا گونه را درگیر کند. به دلیل نزدیک بودن...
بازگشت شنوایی کامل با جراحی ترمیم پرده گوش
پرده گوش، با وجود ظرافتش، نقش حیاتی در شنوایی و محافظت از گوش میانی دارد. زمانی که این ساختار آسیب میبیند، مشکلاتی مانند...
عفونت گوش خارجی
عفونت گوش خارجی عفونت گوش خارجی یکی از شایع ترین بیماری های گوش است که در افراد شناگر و کارگرانی که در کارگاه هایی کار می...
کاهش شنوایی ناگهانی یا سکته گوش چیست؟ علت، علائم و روشهای درمان
تا به حال شده است که یکدفعه احساس کنید، یک گوشتان دیگر صداها را به خوبی نمیشنود؟ در این صورت ممکن است، دچار کاهش شنوایی...
جراحی بینی استخوانی
جراحی بینی استخوانی جراحی بینی استخوانی یک جراحی زیبایی است که نسبت به جراحی بینی گوشتی بهتر انجام می شود و افرادی که...
جراحی بینی طبیعی
جراحی بینی طبیعی در جراحی بینی طبیعی سایز بینی باید به گونه ای تغییر پیدا کند تا نتیجه جراحی بینی طبیعی باشد و جراح سعی می...
کاهش ورم پس از عمل بینی
کاهش ورم پس از عمل بینی کاهش ورم پس از عمل بینی یکی از متداول ترین سوالاتی است که از دکتر صالح محبی پرسیده می شود ، در...
سیگار پس از جراحی بینی
سیگار پس از جراحی بینی : جراحی زیبایی بینی یکی از محبوبترین جراحی ها در کشور ما می باشد که روز به روز به تعداد اشخاصی که...
ورزش پس از جراحی بینی
ورزش پس از جراحی بینی : یکی از مهم ترین سوالاتی که مطرح می شود پس از جراحی بینی این است که آیا پس از جراحی بینی می توان...
چسب بینی پس از عمل جراحی
چسب بینی پس از عمل جراحی بعد از عمل جراحی بینی یا رینوپلاستی، پزشک جراح استفاده از چسب بینی را به شما توصیه می کند این امر...
تزریق بوتاکس
تزریق بوتاکس : بوتاکس همان طور که میدانید یک سم است که پس از فرآوری شدن جهت زیبایی صورت مورد استفاه قرار می گیرد ، تزریق...
درمان کبودی پس از عمل بینی
درمان کبودی پس از عمل بینی : پس از جراحی بینی معمولا کمی کبودی وجود دارد در این مقاله به انجام راه کارهای مفید جهت کاهش...
استحمام پس از جراحی بینی
استحمام پس از جراحی بینی : یکی از سوالات متداول بیماران پس از جراحی بینی نحوه ی صحیح استحمام پس از جراحی بینی است ، در این...
جراحی بینی کج
جراحی بینی کج : بیمارانی که به مطب دکتر صالح محبی متخصص گوش و حلق وبینی مراجعه می کنند ، در خصوص جراحی جراحی بینی کج و...
جراحی ترمیمی بینی
جراحی ترمیمی بینی : یکی از مشکل ترین جراحی های زیبایی ، جراحی زیبایی بینی است ، علت این امر آناتومی پیچیده بینی می باشد ....
تفاوت جراحی بینی باز و بسته
تفاوت جراحی بینی باز و بسته : جراحی زیبایی بینی یکی از عمل های پرطرفدار در کشورمان است ، به گونه ای که هر روز به تعداد...
جراحی فک و صورت
جراحی فک و صورت به جراحی فک و صورت ، جراحی ارتوگناتیک نیز گفته می شود. زمانی که دندان ها به خوبی روی هم چفت نشوند و قرار...
جراحی بینی
عمل بینی یکی از رایج ترین جراحی هایی است که هم اکنون در کشور انجام می شود و خیلی از افراد فقط به ظاهر و فرم نهایی بینی...



































































































































































































